A Zirconia Crown is a high-performance dental restoration made from zirconium dioxide, a white crystalline ceramic known for its exceptional durability and metal-free properties. Many dental professionals are currently transitioning away from traditional porcelain-fused-to-metal (PFM) options because they often lead to unsightly gray margins at the gum line and higher failure rates. By choosing a Zirconia Crown , you can provide your patients with a restoration that combines the “ceramic steel” strength required for molars with the light-transmitting aesthetics needed for anterior teeth.
What Exactly Is a Zirconia Crown?

A Zirconia Crown is a protective cap made from zirconium dioxide, a material that belongs to the technical ceramic family. It serves to restore the shape, size, and strength of a tooth that has been severely decayed or damaged.
Is it a metal or a ceramic?
Zirconia is technically a ceramic oxide, specifically zirconium dioxide (ZrO2). While it contains the metal zirconium, its oxidized crystalline structure gives it the properties of a glass-free ceramic. This unique composition allows it to be incredibly tough without the risk of metal allergies or corrosion.
Why is it called “ceramic steel”?
The term “ceramic steel” refers to the material’s ability to resist crack propagation through a process called transformation toughening. When the material is under stress, the crystals change shape to “pinch” cracks shut. This makes it one of the most fracture-resistant materials available in modern dentistry.
Here is the bottom line:
- Metal-Free: It eliminates the dark shadows seen in traditional crowns.
- High Opacity: Excellent for masking discolored natural tooth stumps.
- Precision: Can be milled to exact tolerances using digital scans.
- Biostability: It does not react with chemicals or temperatures in the mouth.
Key Takeaway: The Zirconia Crown represents the pinnacle of dental material science, offering a metal-free solution that behaves like steel but looks like natural enamel.
| Feature | Description | |
|---|---|---|
| Material Base | Zirconium Dioxide (ZrO2) | |
| Common Name | Ceramic Steel | |
| Biocompatibility | Bio-inert (High) | |
| Primary Use | Posterior and Anterior Restorations |
This table highlights the foundational characteristics that distinguish zirconia from conventional dental alloys and resins.
How Is a Zirconia Crown Manufactured?

The manufacturing of a Zirconia Crown involves a sophisticated digital workflow that begins with a 3D scan of the patient’s mouth. This data is used to design a virtual restoration that is then sent to a precision milling unit.
What is the role of CAD/CAM technology?
CAD/CAM stands for Computer-Aided Design and Computer-Aided Manufacturing. This technology allows for the creation of zirconia materials that fit the prepared tooth with micron-level accuracy. Digital precision ensures that the margins of the crown are perfectly sealed to prevent future decay.
How does sintering affect final strength?
Sintering is a high-temperature heating process that occurs after the crown is milled from a pre-sintered “green” block. During this phase, the zirconia particles fuse together and the crown shrinks to its final, high-strength state. Precise temperature control is essential to ensure the material achieves its target density and translucency.
Think about it:
- Digital Impressions: No more messy, uncomfortable traditional molds.
- Virtual Design: Engineers can adjust tooth morphology with a click.
- High-Speed Milling: Diamonds burs carve the crown in minutes.
- Oven Firing: Reaches temperatures up to 1500°C for maximum hardness.
Key Takeaway: Digital manufacturing removes the human error associated with traditional casting, resulting in a Zirconia Crown that fits better and lasts longer.
| Process Step | Importance | |
|---|---|---|
| 3D Scanning | Captures exact tooth dimensions | |
| Milling | Shapes the restoration from a solid block | |
| Sintering | Hardens the material to final strength | |
| Glazing | Adds natural shine and smoothness |
The integration of CAD/CAM workflows has significantly reduced the turnaround time for high-quality restorations in the modern dental lab.
Why Choose a Zirconia Crown Over Porcelain?

Choosing a Zirconia Crown over traditional porcelain is primarily a decision based on the need for superior mechanical strength. While porcelain is beautiful, it is prone to chipping under the heavy biting forces found in the back of the mouth.
Is zirconia more chip-resistant?
Yes, zirconia is significantly more resistant to chipping because it is a monolithic, solid structure. Traditional porcelain crowns are often layered over metal or alumina, and the bond between those layers is where failure typically occurs. Monolithic zirconia eliminates this weak point entirely.
Which material offers better edge strength?
Zirconia offers superior edge strength, which allows for much thinner margins that don’t fracture during the seating process. This means your dentist can be more conservative with tooth preparation, leaving more of your natural enamel intact. It is the ideal choice for patients who grind their teeth or have a heavy bite.
You might be wondering:
- Fracture Toughness: Zirconia handles impact far better than brittle porcelain.
- Wear Resistance: It holds its shape over decades of chewing.
- Minimal Prep: Requires less tooth reduction than porcelain-fused-to-metal.
- Thermal Conductivity: It does not transmit heat or cold as much as metal.
Key Takeaway: While porcelain remains a valid aesthetic choice, zirconia’s extreme durability makes it the gold standard for long-term restorative success.
| Comparison Factor | Traditional Porcelain | Monolithic Zirconia | |
|---|---|---|---|
| Flexural Strength | 100 – 150 MPa | 900 – 1200+ MPa | |
| Edge Stability | Low (Brittle) | High (Tough) | |
| Chipping Risk | Moderate | Very Low | |
| Tooth Preparation | 1.5mm – 2.0mm reduction | 0.5mm – 1.0mm reduction |
This comparison clearly illustrates why zirconia has largely replaced porcelain in high-stress areas of the oral cavity.
Is a Zirconia Crown Biocompatible for Patients?

A Zirconia Crown is highly biocompatible, meaning it does not cause toxic or immunological responses when placed in living tissue. This is a critical advantage for patients who suffer from metal sensitivities or systemic health concerns.
Can it cause allergic reactions?
Zirconia is virtually non-allergenic. Because it is a bio-inert ceramic, it does not release ions into the bloodstream like some nickel-based dental alloys might. This makes it a safe alternative for patients who have experienced “galvanic shock” or gum inflammation from older restorations.
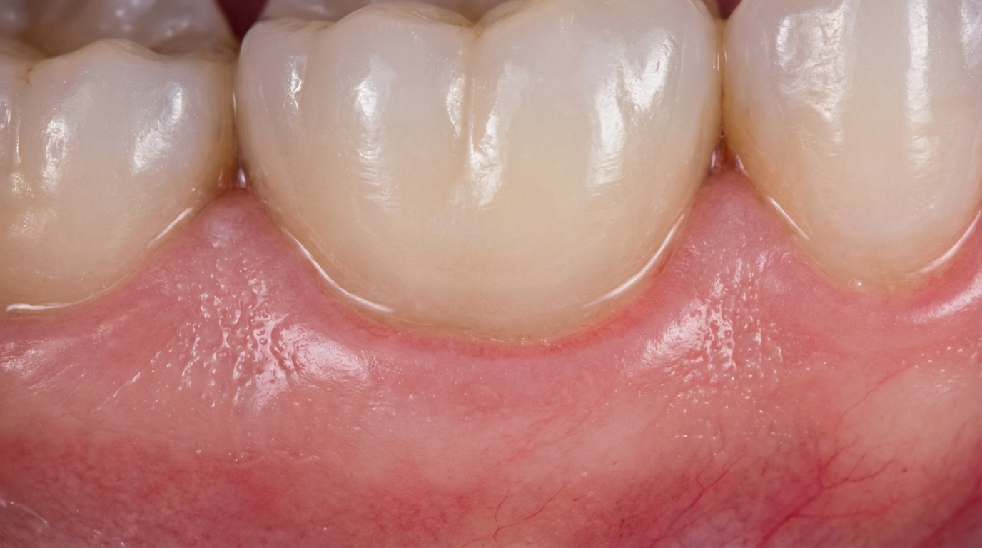
How does it interact with gum tissue?
Research into the dental industry shows that zirconia promotes healthy gingival attachment and resists plaque accumulation. Its smooth surface prevents bacteria from adhering, which significantly reduces the risk of gum disease around the crown. Patients often notice that their gums remain pink and healthy rather than developing a dark, irritated line.
Here is the deal:
- Bio-inert: Does not react with saliva or acidic foods.
- Plaque Resistance: Smoother than natural enamel to keep bacteria away.
- Soft Tissue Friendly: Encourages the “creeping” of gums for a natural look.
- Galvanic Protection: No “metal taste” or electrical sensations in the mouth.
Key Takeaway: Biocompatibility is a major health benefit of the Zirconia Crown, ensuring that the body accepts the restoration without inflammatory side effects.
| Health Metric | Zirconia Performance | |
|---|---|---|
| Allergy Risk | Extremely Low | |
| Plaque Affinity | Lower than Enamel | |
| Tissue Response | Highly Positive | |
| Systemic Safety | Bio-inert |
The material’s interaction with soft tissue ensures that the restoration remains aesthetically pleasing and biologically sound for the long term.
How Natural Does a Zirconia Crown Look?

Modern Zirconia Crown technology has evolved to a point where the restorations are nearly indistinguishable from natural teeth. Advanced “multi-layered” blocks feature built-in color gradients that mimic the transition from the opaque dentin to the translucent incisal edge.
What is the “monolithic” vs. “layered” look?
Monolithic crowns are carved from a single block and are extremely strong, while layered crowns have a porcelain veneer baked over a zirconia core for maximum beauty. While monolithic crowns were once considered too opaque, new high-translucency grades have made them suitable even for front teeth. The choice depends on whether you value maximum strength or ultimate “Hollywood” aesthetics.
Can the shade match natural teeth?
Yes, technicians can customize the shade of your crown to match your existing teeth perfectly. By using internal stains and external glazes, the lab can replicate the unique characterizations, such as white spots or subtle cracks, found in your natural enamel. This ensures that the crown does not look like a “flat” white Chiclet in your smile.
It gets better:
- Translucency: High-end zirconia allows light to pass through just like a real tooth.
- Gradient Shades: Color changes naturally from the root to the tip.
- Fluorescence: Some zirconia grades glow under UV light, mimicking natural teeth.
- No Gray Line: Since there is no metal, the gum line stays bright and natural.
Key Takeaway: Aesthetic zirconia has bridged the gap between industrial strength and natural beauty, making it a premier choice for cosmetic smile makeovers.
| Aesthetic Feature | Modern Zirconia Capability | |
|---|---|---|
| Light Transmission | High (High Translucency Grades) | |
| Color Depth | Multi-layered Gradient | |
| Surface Texture | Hand-polished or Glazed | |
| Customization | Characterization Stains Available |
The ability to blend strength with beauty allows patients to enjoy a confident smile without sacrificing the longevity of the restoration.
What Are the Types of Zirconia Crown Materials?

The specific material used for your Zirconia Crown depends on the concentration of yttria, which stabilizes the crystal structure. Different “generations” of zirconia offer varying balances between mechanical strength and light transmission.
What is 3Y-TZP vs. 5Y-TZP?
3Y-TZP contains 3 mole percent yttria and is the strongest version, often used for bridges and posterior molars. 5Y-TZP contains 5 mole percent yttria, which increases the translucency significantly but lowers the flexural strength. Dentists choose 3Y for durability and 5Y for high-visibility areas like the front of the mouth.
When is high-translucency zirconia used?
High-translucency (HT) zirconia is used when the patient wants a monolithic restoration that looks as good as a veneered crown. It is perfect for single crowns in the “smile zone” where strength is still required but aesthetics are paramount. This material allows for a conservative preparation while providing a life-like appearance.
The truth is:
- 3Y Zirconia: Best for long-span bridges and heavy chewers.
- 4Y Zirconia: A “universal” balance of strength and beauty.
- 5Y Zirconia: Maximum translucency for anterior single units.
- Pre-shaded Blanks: Ensure consistent color throughout the entire restoration.
Key Takeaway: Understanding the yttria content is essential for matching the right zirconia material to the specific clinical needs of each patient.
| Zirconia Grade | Flexural Strength | Translucency Level | Best Use Case | |
|---|---|---|---|---|
| 3Y-TZP | 1200+ MPa | Low | Posterior Molars / Bridges | |
| 4Y-TZP | ~900 MPa | Medium | Universal / Full Arch | |
| 5Y-TZP | ~600 MPa | High | Anterior Single Crowns |
Selecting the appropriate grade ensures the restoration can withstand functional loads while meeting the patient’s aesthetic expectations.
How Strong Is a Zirconia Crown Really?

A Zirconia Crown is arguably the strongest non-metal restoration available in modern medicine. Its flexural strength can exceed 1,200 MPa, which is nearly ten times stronger than the natural forces generated during normal chewing.
Can it withstand molar biting forces?
Absolutely. The molars are subject to the highest biting forces in the body, often reaching up to 800 Newtons. Because zirconia is so dense and fracture-resistant, it can handle these loads without the risk of snapping or cracking. This makes it the ideal material for zircon-based engineered components used in high-wear industrial and medical environments.
Does it wear down opposing natural teeth?
While zirconia is extremely hard, it is also very smooth. Research shows that a properly polished Zirconia Crown is actually kinder to opposing natural teeth than traditional porcelain. Because porcelain is abrasive, it can act like sandpaper, but polished zirconia glides against natural enamel with minimal friction.
Keep this in mind:
- Impact Resistance: Handles sudden biting forces (like a stray popcorn kernel).
- Fatigue Resistance: Does not weaken over millions of chewing cycles.
- Density: Non-porous structure prevents micro-fractures from expanding.
- Surface Finish: Proper polishing is key to protecting natural neighbors.
Key Takeaway: The mechanical properties of zirconia provide peace of mind for both the dentist and the patient, knowing the crown is unlikely to ever break.
| Property | Value | Significance | |
|---|---|---|---|
| Flexural Strength | 1200 MPa | Resists snapping under pressure | |
| Fracture Toughness | 5-10 MPa·m½ | Stops cracks from spreading | |
| Hardness (HV10) | 1250 | Resists scratches and surface wear | |
| Thermal Expansion | 10.5 x 10⁻⁶/K | Matches tooth structure closely |
These metrics confirm that zirconia possesses the industrial-grade durability required for the most demanding oral environments.
How Long Does a Zirconia Crown Last?

A Zirconia Crown is designed to be a long-term solution, with many lasting 10 to 15 years or even a lifetime with proper care. Its longevity is significantly higher than traditional resin or porcelain-only crowns due to its chemical stability.
What is the typical lifespan?
In a well-maintained mouth, you can expect a zirconia restoration to function perfectly for over a decade. Clinical studies show high success rates even after 10 years of service, provided the crown was seated correctly and the patient maintains good hygiene. The material does not degrade or “age” significantly when exposed to the oral environment.
Does oral hygiene affect longevity?
Yes, while the Zirconia Crown itself cannot decay, the natural tooth underneath it still can. If plaque is allowed to build up at the margin where the crown meets the gum, cavities can form, causing the restoration to fail. Regular brushing, flossing, and professional cleanings are essential to protect the supporting tooth structure.
But wait, there’s more:
- Non-Corrosive: Does not rust or tarnish like some old metal crowns.
- Margin Integrity: The precision fit keeps bacteria from leaking underneath.
- Wear Stability: The chewing surface doesn’t flatten out over time.
- Stain Resistance: Resistant to yellowing from coffee, tea, or tobacco.
Key Takeaway: With excellent oral hygiene and regular dental checkups, a zirconia restoration can provide decades of worry-free service.
| Factor | Impact on Longevity | |
|---|---|---|
| Hygiene | High (Prevents marginal decay) | |
| Bite Alignment | Medium (Reduces undue stress) | |
| Material Quality | High (Avoids internal defects) | |
| Professional Care | Medium (Monitors for issues) |
Maintaining the health of the surrounding gums and the underlying tooth is the single most important factor in extending the life of your crown.
Can a Zirconia Crown Be Customized?

Every Zirconia Crown can be fully customized to the unique anatomical and aesthetic needs of the patient. Customization happens at several stages, from the digital design phase to the final hand-staining in the dental laboratory.
How are custom shades applied?
Custom shades are applied using specialized “infiltration liquids” before the crown is sintered or with external glazes after firing. Technicians use a palette of stains to recreate the subtle nuances of your neighboring teeth. This artistic touch is what turns a generic white block into a lifelike piece of dental art.
Who manufactures the raw materials?
The quality of the final crown depends heavily on the purity of the raw zirconia powder. As an application-driven manufacturer, we focus on providing high-purity materials with controlled particle size distribution. Vertically integrated suppliers ensure that the material is consistent from batch to batch, which is critical for predictable results.
The truth is:
- Digital Wax-up: You can “preview” your new smile on a screen.
- Internal Staining: Adds depth and realism from within the ceramic.
- Surface Anatomy: Technicians carve tiny grooves and ridges for a natural feel.
- Adjustable: Small changes can be made at the chairside before final cementation.
Key Takeaway: Customization is the bridge between industrial manufacturing and personalized healthcare, ensuring every crown is a perfect fit.
| Customization Type | Method | Result | |
|---|---|---|---|
| Morphology | CAD Design | Perfect bite and fit | |
| Coloring | Infiltration / Staining | Natural shade matching | |
| Translucency | Material Selection | Lifelike light transmission | |
| Texture | Manual Polishing | Natural enamel feel |
By combining digital precision with artisanal skill, dental labs can produce restorations that satisfy even the most discerning patients.
Where to Buy Zirconia Crown Blanks?

Finding a reliable supplier for dental blanks is critical for laboratories that want to produce a high-quality Zirconia Crown consistently. You should look for manufacturers that provide complete data support and verified material stability for every batch.
Why choose vertically integrated suppliers?
Vertically integrated suppliers control the entire process from raw ore to the finished disc, ensuring maximum traceability. This reduces the risk of quality fluctuations that can lead to crown fractures or poor fits. Buying directly from a manufacturer like ZrBrontec ensures you are getting technical-grade purity designed specifically for dental applications.
Is batch consistency important?
Yes, batch consistency is the most important factor for predictable sintering shrinkage. If the shrinkage rate varies even slightly between discs, the crowns will not fit the patient correctly. Professional suppliers provide a Certificate of Analysis (COA) with every shipment to guarantee that the physical and chemical properties meet your standards.
The choice is clear:
- Direct Sourcing: Cuts out middleman costs and improves communication.
- Data Support: Full PSD and whiteness reports for every batch.
- Custom Specs: The ability to request specific yttria levels or disc sizes.
- Stability: Long-term supply agreements keep your production running smoothly.
Key Takeaway: Your restoration is only as good as the raw material it is made from; choosing a stable, data-driven supplier is non-negotiable.
| Supplier Benefit | Why It Matters | |
|---|---|---|
| Direct Manufacturing | Better quality control and lower costs | |
| Full Traceability | Essential for medical/dental regulations | |
| Technical Support | Faster troubleshooting for milling issues | |
| Inventory Safety | Ensures you never run out of stock |
Investing in high-quality blanks is the first step toward reducing remake rates and building a reputation for excellence in the dental market.
Conclusion
As a leading manufacturer of technical zircon materials, ZrBrontec is committed to providing the consistency and purity required for the next generation of dental restorations. Our vertical integration and engineering support help dental labs eliminate process variation and deliver superior results to patients worldwide. If you are looking to optimize your material supply or solve complex production challenges, contact us today to start a technical conversation with our engineers.
FAQs
1. Can a Zirconia Crown be adjusted after it is cemented?Yes. While it is difficult due to the material’s hardness, your dentist can use specialized fine-grit diamond burs and cooling water to make minor adjustments. They must then re-polish the surface to prevent wear on opposing teeth.
2. Do Zirconia Crowns stain over time?No. High-quality zirconia is non-porous and highly resistant to stains from coffee, wine, or tobacco. However, the surface glaze can eventually wear off, so regular professional cleanings are recommended to maintain the shine.
3. Is the Zirconia Crown procedure painful?No. The process is virtually identical to receiving any other type of crown. Your dentist will use local anesthesia to numb the area during the preparation, and most patients only feel slight pressure during the final seating.
4. How much tooth structure must be removed?Minimal. Because zirconia is so strong, it can be milled very thin (0.5mm) while still maintaining its integrity. This allows your dentist to preserve more of your natural tooth compared to porcelain-fused-to-metal crowns.
5. Does it feel heavy in the mouth?No. Zirconia is a lightweight ceramic material. Once it is cemented, it feels remarkably similar to your natural teeth in terms of weight and “feel” against your tongue.