A holistic dentistry approach to dental implants prioritizes the use of bio-inert, metal-free materials that support your systemic wellness while restoring the function of your smile. For decades, traditional restorative methods relied on titanium alloys, which can introduce foreign metallic elements into your sensitive oral environment. This reliance on metal often leads to concerns regarding chronic inflammation, galvanic toxicity, and unsightly aesthetic “grey shadows” at the gumline. By choosing zirconia implants , you embrace a biologically harmonious solution that aligns with a philosophy of total-body health.
1. What are zirconia implants and how do they function?

Zirconia implants are high-performance ceramic posts made from zirconium dioxide that serve as artificial roots for missing teeth. Unlike traditional metal options, these ceramic structures are completely metal-free and possess a crystalline composition similar to natural tooth tissue. They are surgically placed into your jawbone to provide a stable, permanent foundation for a custom-made crown.
Look at this:
- Material Composition: Crafted from high-purity zirconia materials .
- Functionality: Acts as a sturdy anchor for single or multiple tooth replacements.
- Integration: Utilizes advanced surface technology to fuse with your natural bone.
The Process of Osseointegration
The ceramic post undergoes a biological process where your bone cells grow directly onto the surface of the implant. This creates a secure bond that can withstand the intense pressure of daily biting and chewing. Think about it: a material that is as strong as metal but as safe as natural bone.
Key Takeaway: Zirconia functions as a bio-inert, high-strength ceramic root that integrates seamlessly with your jawbone to provide a lifetime of support.
| Feature | Description | |
|---|---|---|
| Material | Zirconium Dioxide (Ceramic) | |
| Connectivity | Non-conductive | |
| Color | Naturally tooth-colored white |
Zirconia provides the necessary structural integrity for tooth replacement without the biological risks associated with metal.
2. Why are zirconia implants the preferred choice for holistic care?
Holistic dentistry focuses on how oral health impacts your entire body, making zirconia implants the gold standard for health-conscious patients. These implants are considered “bio-inert,” meaning they do not react with your tissues or release harmful ions into your bloodstream. They ensure that your restorative journey does not compromise your body’s delicate internal balance.
Here is the best part:
- Zero Corrosion: Unlike metal, ceramic will not rust or degrade in the mouth.
- Biocompatibility: Formulated to minimize the risk of chronic immune triggers.
- Holistic Alignment: Supports a toxic-load reduction strategy for overall wellness.
Eliminating Galvanic Toxicity
Many holistic practitioners are concerned about oral galvanism, which occurs when different metals in the mouth create tiny electrical currents. Since ceramic is a non-conductor, it eliminates these micro-currents that can interfere with your nervous system. Bottom line? You protect your neurological health while fixing your smile.
Key Takeaway: Zirconia aligns with holistic principles by being non-reactive and non-conductive, protecting your body from the systemic stress of metallic ions.
| Holistic Benefit | Impact on Patient Health | |
|---|---|---|
| Bio-inertness | Prevents localized and systemic inflammation | |
| Non-conductive | Eliminates electrical interference in the mouth | |
| Metal-free | Reduces the body’s total toxic chemical burden |
Choosing ceramic ensures your dental restoration works in harmony with your body’s natural energy and immune responses.
3. How do zirconia implants compare to traditional titanium options?

Comparing zirconia implants to titanium reveals significant differences in how the materials interact with your biological tissues over time. While titanium is a metal alloy that can corrode in the acidic environment of the mouth, zirconia remains chemically stable and inert. This stability prevents the leaching of metallic particles that can lead to bone loss or soft tissue irritation.
It gets better:
- Corrosion Resistance: Zirconia is immune to electrochemical degradation.
- Plaque Affinity: Ceramic surfaces attract significantly fewer bacteria than metal.
- Thermal Insulation: Zirconia protects your jaw from extreme hot or cold sensations.
Soft Tissue Integration
Research indicates that your gums tend to form a tighter, healthier seal around ceramic than they do around metal. This biological barrier is crucial for preventing bacteria from reaching the underlying bone. In other words, you get a more protective defense system against potential implant failure.
Key Takeaway: Compared to titanium, zirconia offers superior chemical stability, lower bacterial attraction, and better gum tissue adherence for a safer long-term outcome.
| Metric | Zirconia | Titanium | |
|---|---|---|---|
| Conductivity | Non-conductive | Conductive | |
| Aesthetics | Tooth-colored | Dark Grey | |
| Bacterial Adhesion | Very Low | Moderate |
The material superiority of zirconia makes it the clear choice for patients seeking durability without the drawbacks of metal corrosion.
4. Who is considered the ideal candidate for ceramic restorations?

You are likely an ideal candidate for zirconia implants if you prioritize aesthetics and have known sensitivities to various metals. These implants are specifically designed for those who want a permanent solution that looks and feels like a natural part of their body. Modern diagnostics ensure that patients with diverse dental needs can benefit from this advanced ceramic technology.
Consider these factors:
- Metal Sensitivities: Essential for those who react to jewelry or common alloys.
- Thin Gum Tissue: Perfect for preventing dark metal shadows from showing through.
- Health-Conscious Lifestyles: The top choice for patients following clean-living protocols.
Aesthetic and Physiological Needs
Patients with a high “smile line” or thin gingiva often find that metal implants create a noticeable discoloration at the base of the tooth. Because zirconia is naturally white, it maintains a seamless, bright appearance even if the gumline shifts. That’s not all—the material is hypoallergenic, providing peace of mind for anyone worried about allergies.
Key Takeaway: Ideal candidates include health-conscious individuals, those with metal allergies, and patients seeking the highest level of natural-looking dental aesthetics.
| Candidate Profile | Why Zirconia is Best | |
|---|---|---|
| Allergy Sufferers | 100% hypoallergenic and metal-free | |
| Aesthetic Focused | No grey margins at the gumline | |
| Systemic Health Driven | Supports a holistic, toxin-free body |
Zirconia accommodates both the biological and cosmetic requirements of the most discerning dental patients.
5. What does the clinical procedure for placement involve?

The procedure for placing zirconia implants involves high-precision 3D planning to ensure the ceramic post is positioned for maximum stability and health. Because zirconia is a rigid material, your clinician will use advanced digital scans to map your bone density and nerve locations before the surgery. This meticulous approach guarantees that the final restoration can handle the dynamic forces of your bite.
Key steps include:
- Digital Imaging: Creating a precise 3D model of your jaw and teeth.
- Surgical Guidance: Using custom guides for exact implant placement.
- One-Piece Design: Often placed as a single unit to eliminate bacterial gaps.
The Advantage of Precision
Modern ceramic systems often utilize zircon-based engineered components that are manufactured with extreme accuracy. This precision allows for a minimally invasive surgery and a more predictable healing path. Simply put, the more accurate the placement, the better the long-term success of your holistic restoration.
Key Takeaway: The placement process is a digitally-guided surgical event designed to optimize the mechanical and biological success of the ceramic implant.
| Procedure Step | Primary Objective | |
|---|---|---|
| 3D CBCT Scan | Map bone volume and vital structures | |
| Placement | Insert the bio-inert post into the jawbone | |
| Healing Phase | Allow for complete ceramic-to-bone fusion |
Advanced technology ensures that the transition to your new ceramic tooth is as smooth and efficient as possible.
6. How does ceramic material promote long-term gum health?

Choosing zirconia implants promotes superior gum health because the material’s surface is naturally resistant to the accumulation of harmful bacteria. Healthy gums are the foundation of a long-lasting implant, and ceramic provides a much friendlier environment for your soft tissues than metal does. This material choice significantly reduces your risk of developing localized infections around the implant site.
Observe the following:
- Low Plaque Affinity: Bacteria find it difficult to stick to the smooth ceramic surface.
- Tissue Attachment: Your gums form a tight, biological seal against the implant.
- Improved Circulation: Ceramic does not impede blood flow in the surrounding tissue.
Resistance to Peri-implantitis
Peri-implantitis is a form of gum disease that is the leading cause of implant failure, often triggered by bacteria on metal surfaces. Since zirconia is highly resistant to plaque, it helps keep the surrounding area clean and free from inflammatory triggers. Here’s why: a cleaner surface means a healthier immune response and a more stable tooth.
Key Takeaway: Zirconia’s smooth, non-porous surface naturally repels plaque and supports healthy blood flow, dramatically lowering the risk of gum-related implant complications.
| Health Factor | Zirconia Performance | |
|---|---|---|
| Bacterial Buildup | Lowest among all implant materials | |
| Gingival Response | Promotes healthy, pink gum tissue | |
| Infection Risk | Significantly reduced compared to metal |
Maintaining the health of your gums is effortless when the implant material itself works against bacterial colonization.
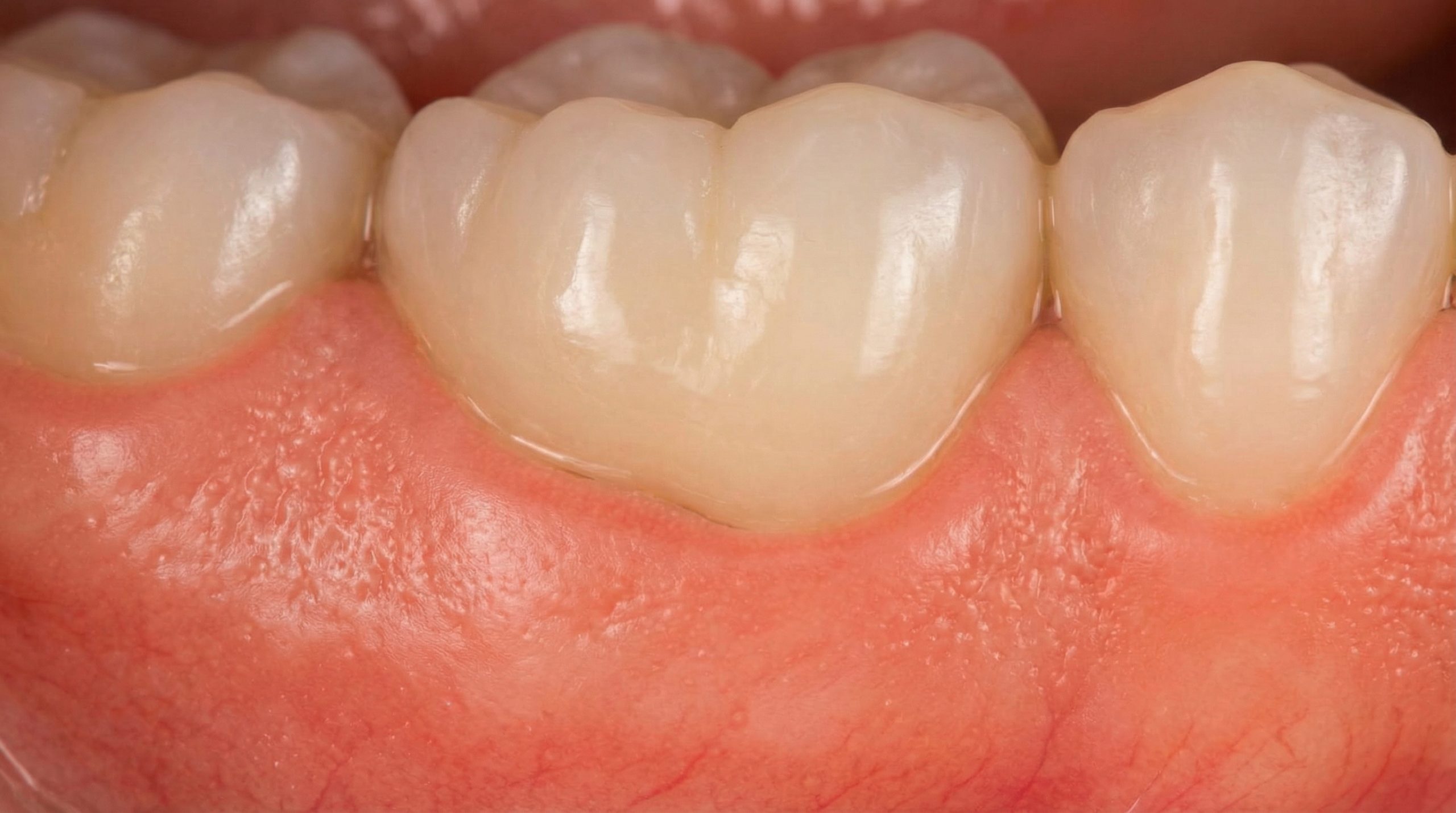
7. What are the primary aesthetic benefits of choosing ceramic?

The primary aesthetic benefit of ceramic is its ability to mimic the light-reflecting properties of your natural teeth. While metal implants are dark and opaque, zirconia is naturally white and translucent, allowing light to pass through the restoration just as it does with real enamel. This creates a vibrant, life-like appearance that is indistinguishable from the rest of your smile.
Look at the difference:
- Natural Translucency: Mimics the depth and clarity of natural tooth structure.
- Consistent Color: The white post ensures no grey shadows at the gumline.
- Youthful Appearance: Maintains a bright, healthy look for many years.
Eliminating the Metal Shadow
One of the most common complaints about traditional implants is the “dark line” that appears if the gums recede over time. With ceramic, even if your gums move slightly, the exposed material remains tooth-colored and beautiful. But there’s more—the material can be custom-shaded to match your existing teeth perfectly, ensuring total visual harmony.
Key Takeaway: Ceramic provides the most natural aesthetic results by offering high translucency and eliminating the risk of dark metallic discolorations at the base of the tooth.
| Aesthetic Feature | Clinical Result | |
|---|---|---|
| Light Transmission | Realistic, multi-dimensional appearance | |
| Material Color | Natural white/ivory throughout the structure | |
| Aging Gracefully | No visible dark margins if gum recession occurs |
Ceramic technology ensures your smile looks as healthy as it feels, with no visual evidence of dental work.
8. How durable are these metal-free implants over time?

Modern zirconia implants are engineered for extreme durability, matching or even exceeding the strength of traditional metal alloys. Advanced yttria-stabilized zirconia is specifically designed to handle the massive pressure of mastication without cracking or wearing down. These implants are built to provide a life-long solution for missing teeth when supported by proper oral hygiene.
Consider these strength markers:
- High Flexural Strength: Able to withstand significant biting forces.
- Fracture Toughness: Engineered to resist chips and structural failures.
- Wear Resistance: The ceramic surface stays smooth and intact for decades.
Long-Term Success Rates
Clinical data shows that high-quality ceramic systems have success rates comparable to titanium, often exceeding 97% over a ten-year period. By using premium zirconia materials , manufacturers ensure that the implants do not suffer from aging or degradation in the mouth. In other words, your investment is protected by some of the toughest materials known to science.
Key Takeaway: Engineered with high-performance ceramic, zirconia provides a robust and long-lasting restoration that rivals the durability of metal-based systems.
| Durability Factor | Zirconia Performance Level | |
|---|---|---|
| Compressive Strength | Extremely High (Bite force ready) | |
| Material Stability | 100% resistant to oral acids and salts | |
| Clinical Success | Comparable to industry-standard titanium |
You can trust that your ceramic restoration will remain functional and strong through a lifetime of daily use.
9. What should you expect during the post-surgical recovery phase?

Recovery following the placement of ceramic implants is generally straightforward, as the body tends to accept the bio-inert material with very little irritation. Most patients report a smooth healing phase with minimal swelling compared to traditional metal surgeries. Your body’s natural inflammatory response is kept to a minimum because the ceramic does not trigger the immune system like foreign metals can.
What to expect:
- Integration Period: 3 to 6 months for the bone to fully fuse with the post.
- Dietary Adjustments: Soft foods are recommended during the initial healing weeks.
- Low Sensitivity: Patients often experience less localized discomfort than with metal.
Holistic Healing Support
During this phase, holistic practitioners may recommend natural anti-inflammatories or specific vitamins to speed up the bone-fusing process. Since the material is non-reactive, you don’t have to worry about chemical sensitivities complicating your recovery. Simply put, your body can focus entirely on healing the bone rather than fighting off a metallic invader.
Key Takeaway: Recovery focuses on a 3-6 month osseointegration window, characterized by a low-inflammatory response and high tissue acceptance of the ceramic material.
| Recovery Milestone | Typical Timeline | |
|---|---|---|
| Initial Healing | 7 – 14 Days (Gums close) | |
| Osseointegration | 3 – 6 Months (Bone fuses) | |
| Final Crown | After integration is verified |
A calm and predictable recovery is one of the primary benefits of choosing a material that your body naturally recognizes as safe.
10. Why are zirconia implants a worthwhile health investment?

Investing in zirconia implants is a proactive step toward maintaining your long-term oral and systemic health. While the initial cost of high-end ceramic systems may be higher than traditional metal, the value they provide in terms of safety and aesthetics is unmatched. You are essentially paying for a “one-and-done” solution that eliminates the need for future treatments related to metal allergies or aesthetic failures.
Consider the value:
- Systemic Safety: Prevents future health issues related to metal toxicity.
- Aesthetic Longevity: Ensures a beautiful smile that won’t fade or discolor.
- Quality of Life: Provides a metal-free peace of mind that aligns with your values.
Choosing Premium Engineering
The success of your restoration depends heavily on the quality of the raw materials used. Using high-performance zirconia materials ensures that your implant has the purity and strength required for permanent success. That’s not all—choosing ceramic reduces the likelihood of future corrective surgeries, making it the most cost-effective choice for your long-term wellness.
Key Takeaway: Zirconia represents a superior investment by combining unmatched systemic safety with permanent aesthetic excellence and mechanical durability.
| Value Proposition | Long-Term Benefit | |
|---|---|---|
| Immune Protection | No risk of metal-induced inflammation | |
| Visual Permanence | Smile remains bright and tooth-colored | |
| Future Savings | Lower risk of replacement or corrective care |
Choosing a holistic approach today ensures that your dental health supports your overall vitality for years to come.
Conclusion
A holistic approach to dental implants is more than just a cosmetic choice; it is a commitment to your body’s long-term biological harmony. By opting for ceramic, you choose a material that respects your immune system, protects your neurological health, and provides a stunningly natural result. At ZrBrontec, we believe that your dental restorations should be as clean and safe as they are functional. To learn more about our high-purity ceramic solutions, contact us today to see how we can support your journey toward a healthier, more beautiful smile.
Frequently Asked Questions
1. Can I get zirconia implants if I have an existing metal allergy?Yes, zirconia is 100% metal-free and hypoallergenic, making it the safest option for patients with sensitivities. This material does not trigger the chronic inflammatory responses often seen with titanium.
2. How do I clean my new ceramic implants?You clean them exactly like natural teeth by brushing and flossing regularly. Because zirconia resists plaque better than metal, keeping the area healthy is often easier than with traditional implants.
3. Are zirconia implants as strong as the metal ones?Yes, modern yttria-stabilized zirconia has exceptional flexural strength and fracture toughness. It is designed specifically to handle the heavy pressures of the human bite for a lifetime.
4. Will the ceramic implant show through my gums?No, because the material is naturally white or ivory, it mimics the color of a natural tooth root. This prevents the dark “grey shadow” often seen at the gumline of titanium implants.
5. How long do zirconia implants last?With proper care and high-purity manufacturing, these implants are intended to last for decades. Their success rates rival those of traditional metal systems while providing better biological compatibility.